





名古屋市守山区小幡常燈18-5
名鉄瀬戸線「小幡駅」より早歩き3分
歯並び以外の健康課題を解決し、
後戻りしづらい
歯並びを育成します!
姿勢
顎関節
睡眠障害
アレルギー
発達障害
発音障害
完全オーダーメイド
リンクスター歯科の小児矯正治療
アプローチ例
01 トレーニング
約60種類のトレーニング種目からお子様の課題に合わせたメニューを作成してトレーニングします。
姿勢を改善する、口呼吸を治す、舌の位置を正常にする、飲み込み方を治す、口を閉じるなど口腔内の悪習癖を改善します。


02 様々な装置で歯並びを整える
正常な場所に歯が生え変わるよう、様々の矯正装置を活用して歯並びを整えます。
製品例)チューイングブラシ、マイオタリア、マイオブレース、バイオブロック、フェイスマスク、プレオルソ など
03 医科との連携による治療
耳鼻科や睡眠外来、舌のレーザー治療、舌小帯短縮症の改善などお子様の課題に応じて医科と連携して根本的な原因にアプローチし改善します。

3年で500名を治療した
リンクスター歯科の小児矯正は
従来の小児矯正治療と何が違う?
| 治療法 | 従来 | 1期治療+2期治療 | |
| 当院 | オーダーメイド治療 | ||
| 年齢 | 従来 | 8〜12歳 | |
| 当院 | 4歳~10歳(犬歯が生え変わるまで) | ||
| 期間 | 従来 | 一生(悪習癖が治らない場合) | |
| 当院 | 1年から2年 | ||
| 費用 | 従来 | 88万円〜 | |
| 当院 | 小児予防矯正19.5万円~ / 小児矯正55万円~ | ||
| 抜歯 | 従来 | 永久歯を抜歯する可能性がある | |
| 当院 | 永久歯を抜かない |
リンクスター歯科の小児矯正のゴール
- 1. 歯並びが悪くなる原因を知ってもらう
- 2. お口や体の正しい使い方がわかる
- 3. 楽しく治療に取り組む
- 4. 健康なお口や身体を手にいれる
- 5. 笑顔を大切に楽しく成長できる
リンクスター歯科の
小児矯正
無料相談のご予約
お子さまの歯並びや噛み合わせについて、
専門の歯科医師が
わかりやすくご説明いたします。
将来の健やかな成長のために、
まずはお気軽にご相談ください。
リンクスター歯科・小児歯科が
選ばれる7つの理由

Features 01
累計治療件数500件
(2023年4月〜2025年10月)
これまでの経験に基づき、
お子様を綺麗な歯並びへと治療いたします。
Features 01
累計治療件数500件
(2023年4月〜2025年10月)

これまでの経験に基づき、
お子様を綺麗な歯並びへと治療いたします。

Features 02
キッズスペースと保育士常駐で
お子様連れも安心して通院可能
保育士が常駐し、診療中はお子様を安全にお預かりします。
小さなお子様がいても安心して治療に専念できる環境をご用意。
親子で通うことで、お子様も歯科医院を身近に感じられます。
Features 02
キッズスペースと保育士常駐で
お子様連れも安心して通院可能

保育士が常駐し、診療中はお子様を安全にお預かりします。
小さなお子様がいても安心して治療に専念できる環境をご用意。
親子で通うことで、お子様も歯科医院を身近に感じられます。

Features 03
小児矯正に精通した歯科医師・
矯正専門スタッフが担当
口腔機能支援士の資格と小児口腔発達学会に所属した
歯科医師と矯正専門スタッフが治療を担当します。
Features 03
小児矯正に精通した歯科医師・
矯正専門スタッフが担当

口腔機能支援士の資格と小児口腔発達学会に所属した歯科医師と矯正専門スタッフが治療を担当します。

Features 04
無料カウンセリング実施中
お子様の歯の事お気軽にご相談ください 。
無料カウンセリングのみ受けられる方も多くいらっしゃいます。
無理を強いるような契約のお話などは致しませんので
ご安心してください。
Features 04
無料カウンセリング実施中

お子様の歯の事お気軽にご相談ください 。
無料カウンセリングのみ受けられる方も多くいらっしゃいます。
無理を強いるような契約のお話などは致しませんのでご安心してください。

Features 05
悪習癖を改善し
歯戻りが少ない矯正治療
口腔機能療法を用いて、悪い口癖を改善し、 治療後の歯戻りが少なくする治療ができます。
Features 05
悪習癖を改善し
歯戻りが少ない矯正治療

口腔機能療法を用いて、悪い口癖を改善し、
治療後の歯戻りが少なくする治療ができます。

Features 06
デンタルローン導入で月額5,439円〜
小児矯正治療をご提供
月々5,439円から矯正治療が可能です。
3回~120回の分割払いが可能です。
詳細はページ下部の料金プランと初回無料相談でご確認ください。
※自由診療につき公的医療保険適用外
Features 06
デンタルローン導入で
月額5,439円〜
小児矯正治療をご提供

月々5,439円から矯正治療が可能です。
3回~120回の分割払いが可能です。
詳細はページ下部の料金プランと初回無料相談でご確認ください。
※自由診療につき公的医療保険適用外

Features 07
駐車場24台完備で
遠方からも安心して通院可能
お車でお越しいただく方も
安心して通院できるよう駐車場を24台完備しています。
そのため守山区を中心に、東区・名東区・春日井市・尾張旭市など周辺地域の方によく来院いただいています。
Features 07
駐車場24台完備で
遠方からも安心して通院可能

お車でお越しいただく方も
安心して通院できるよう駐車場を24台完備しています。
そのため守山区を中心に、東区・名東区・春日井市・尾張旭市など周辺地域の方によく来院いただいています。
リンクスター歯科の
小児矯正
無料相談のご予約
お子さまの歯並びや噛み合わせについて、
専門の歯科医師が
わかりやすくご説明いたします。
将来の健やかな成長のために、
まずはお気軽にご相談ください。
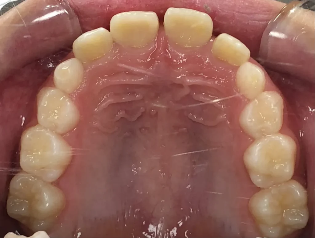
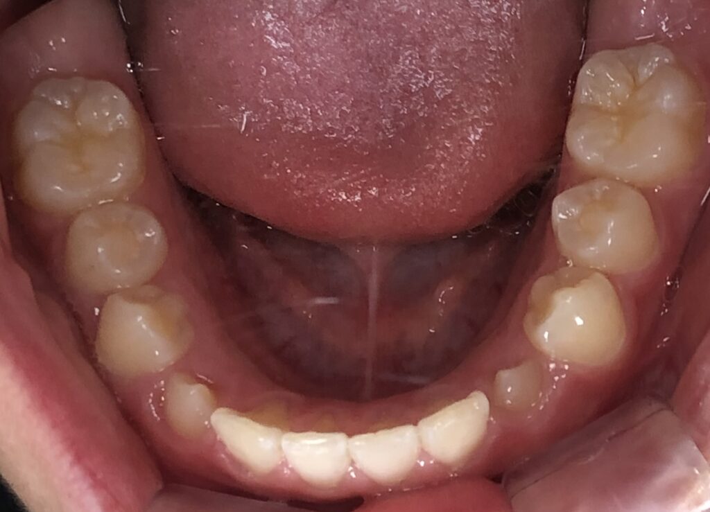
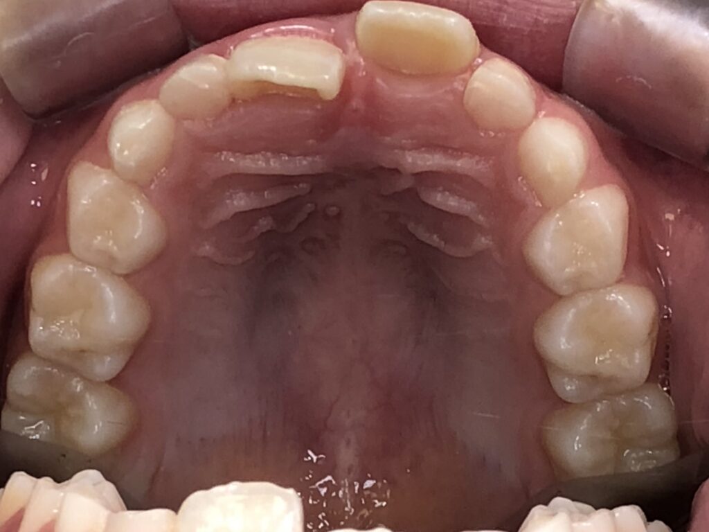
当院で治療実績のある
症状
経験豊富な矯正専門医のもと、
安心して治療を受けることができます。
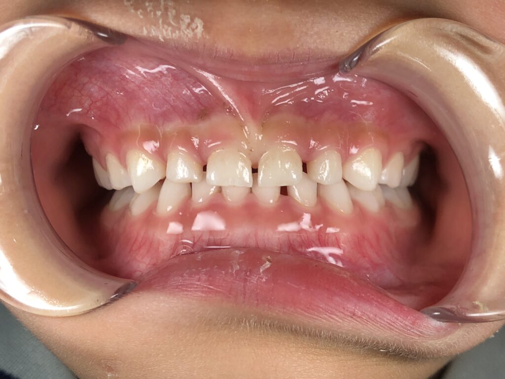
叢 生
デコボコな歯並び
出っ歯
上の歯が前に出ている
受け口
下の歯が前に出ている
すきっ歯
歯間に隙間がある
閉 口
前歯が閉じられない
過蓋咬合
噛み合わせが深い
-
主 訴
上の前歯の歯並びが気になる。鼻詰まりもあり改善したい。
治療方法
小児矯正
治療期間
1年3カ月
抜 歯
なし
費 用
550,000円
-
主 訴
かみ合わせが反対になっているのを治したい。
治療方法
小児予防矯正
治療期間
9カ月
抜 歯
なし
費 用
195,000円
-
主 訴
前歯の歯並び、かみ合わせが気になる。
治療方法
小児矯正
治療期間
1年3カ月
抜 歯
なし
費 用
550,000円
自由診療に係る
治療等に係る主なリスク、
副作用等に関して
- 症例によっては対応できないことがあります。
- 最初は矯正装置の装着による不快感や違和感があります。
- 歯の移動には、個人差がありますが、痛みが伴うことがあります。
- 歯の移動に伴い、顎関節症状が出る可能性があります。
- マウスピース矯正装置を誤飲する可能性があります。
- 場合によっては歯が動かない可能性があります。
- 個々人のケースにより、当初の治療計画を変更する可能性があります。
- 歯科医師の指導に従わない場合、治療期間終了後に元に戻る可能性が高まります。
- 治療にご協力いただけないお子様は中断になる場合があります。
リンクスター歯科の
料金表
支払い方法
- 現金払い・Paypay
- クレジット払い:各種クレジットカードでのお支払い可能です。
- デンタルローン:デンタルローンの詳細に関してはカウンセリング時にお伝えいたします。

1. 現金払い・Paypay
2. クレジット払い:各種クレジットカードでのお支払い可能です。

3. デンタルローン:デンタルローンの詳細に関しては
カウンセリング時にお伝えいたします。
下記の表はあくまでも参考の金額となります。 予めご了承ください。
下記の表はあくまでも参考の金額となります。
予めご了承ください。
治療費が550,000円の場合
| 年数 | 1年 (12回) | 2年 (24回) | 3年 (36回) | 4年 (48回) | 5年 (60回) | 6年 (72回) | 7年 (84回) | 8年 (96回) | 9年 (108回) | 10年 (120回) |
| 月々 お支払い 金額 (税込) | 46,707円 | 23,761円 | 16,116円 | 12,296円 | 10,005円 | 8,480円 | 7,392円 | 6,577円 | 5,944円 | 5,439円 |
| 回数 | 月々お支払い金額(税込) |
| 12回 | 38,689円 |
| 24回 | 19,904円 |
| 36回 | 13,649円 |
| 48回 | 10,527円 |
| 60回 | 8,658円 |
| 72回 | 7,415円 |
| 84回 | 6,531円 |
| 96回 | 5,870円 |
| 108回 | 5,944円 |
| 120回 | 5,439円 |
医療費控除について
医療費控除とは、その年の1月1日から12月31日までの間に患者様本人、または家族全員の1年間の医療費の合計が10万円を超えた場合に一定の金額が還付される制度です。
確定申告することで還付金を受け取ることができます。
治療費が550,000円の場合
所得額(万円) | 250 | 300 | 400 | 500 | 600 | 700 | 800 | 900 | 1000 |
返還金額 (還付金+減税額) | 90,000円(45,000+45,000) | 90,000円(45,000+45,000) | 135,000円(90,000+45,000) | 135,000円(90,000+45,000) | 135,000円(90,000+45,000) | 148,500円(103,500+45,000) | 148,500円(103,500+45,000) | 148,500円(103,500+45,000) | 193,500円(148,500+45,000) |
所得額(万円) | 返還金額 (還付金+減税額) |
| 250 | 90,000円 (45,000+45,000) |
| 300 | 90,000円 (45,000+45,000) |
| 400 | 135,000円 (90,000+45,000) |
| 500 | 135,000円 (90,000+45,000) |
| 600 | 135,000円 (90,000+45,000) |
| 700 | 148,500円 (103,500+45,000) |
| 800 | 148,500円 (103,500+45,000) |
| 900 | 148,500円 (103,500+45,000) |
| 1000 | 193,500円 (148,500+45,000) |
リンクスター歯科の
小児矯正
無料相談のご予約
お子さまの歯並びや噛み合わせについて、
専門の歯科医師が
わかりやすくご説明いたします。
将来の健やかな成長のために、
まずはお気軽にご相談ください。
リンクスター歯科の
小児矯正治療の流れ
01
ご予約・問い合わせ
お電話・ご予約フォームからご連絡ください。
初回カウンセリングや検査をしていただく日時をご予約いただきます。

02
矯正相談・集団矯正体験会 (約30分)
お口の中を確認し、矯正方法の説明や概算の金額、期間などの説明を行います。歯並びで気になっている部分、不安な部分などにしっかりとお答えするために、時間を確保して行います。

03
精密検査
お口の中を確認し、矯正方法の説明や概算の金額、期間などの説明を行います。歯並びで気になっている部分、不安な部分などにしっかりとお答えするために、時間を確保して行います。

04
診断結果や治療計画のご説明
矯正検査のご報告と治療計画、ご利用料金についてご説明いたします。ご自身やご家族としっかり相談した上で、ご契約いただくことを推奨しています。

05
ご契約&お支払い
治療計画や費用にご納得いただいた後にご契約となります。
当院ではデンタルローンによる分割払いを適用しています。ご相談ください。

06
治療開始
基本的な来院頻度はマウスピース矯正が1~2ヶ月に1回となります。
尚、治療計画により来院回数が異なります。

07
治療完了・メンテナンス
矯正終了後は、歯がもとにもどらないようにリテーナ(保定装置)を制作し、つけていただきます。

-
医院名
-
リンクスター歯科
-
住所
-
〒463-0047
愛知県名古屋市守山区小幡常燈18-5 -
アクセス
-
名鉄瀬戸線 小幡駅より早歩き3分
-
駐車場
-
8台完備 第2駐車場あり・16台
第2駐車場の住所記載


院長紹介

リンクスター歯科院長
鈴木 信之介
[ 経歴 ]
- 愛知県出身
- 朝日大学卒業
- 名古屋市および常滑市で勤務
- 副院長を経験 研鑽を積む
- 2023年4月 リンクスター歯科を開院
[ 資格・学会 ]
- 日本小児口腔発達学会(NPD)
- 日本口腔インプラント学会
- 国際食育士協会 歯科食育士エキスパート
- 歯科医院経営戦術集団TACT-X 指導医
- マイオサークル(小児予防矯正)セミナー修了
- 歯周内科ベーシックセミナー修了
- プレオルソセミナー修了
- 息育指導士(あいうべ体操マスターコース修了)
リンクスター歯科の
小児矯正
無料相談のご予約
お子さまの歯並びや噛み合わせについて、
専門の歯科医師が
わかりやすくご説明いたします。
将来の健やかな成長のために、
まずはお気軽にご相談ください。







