矯正治療実績一覧
-
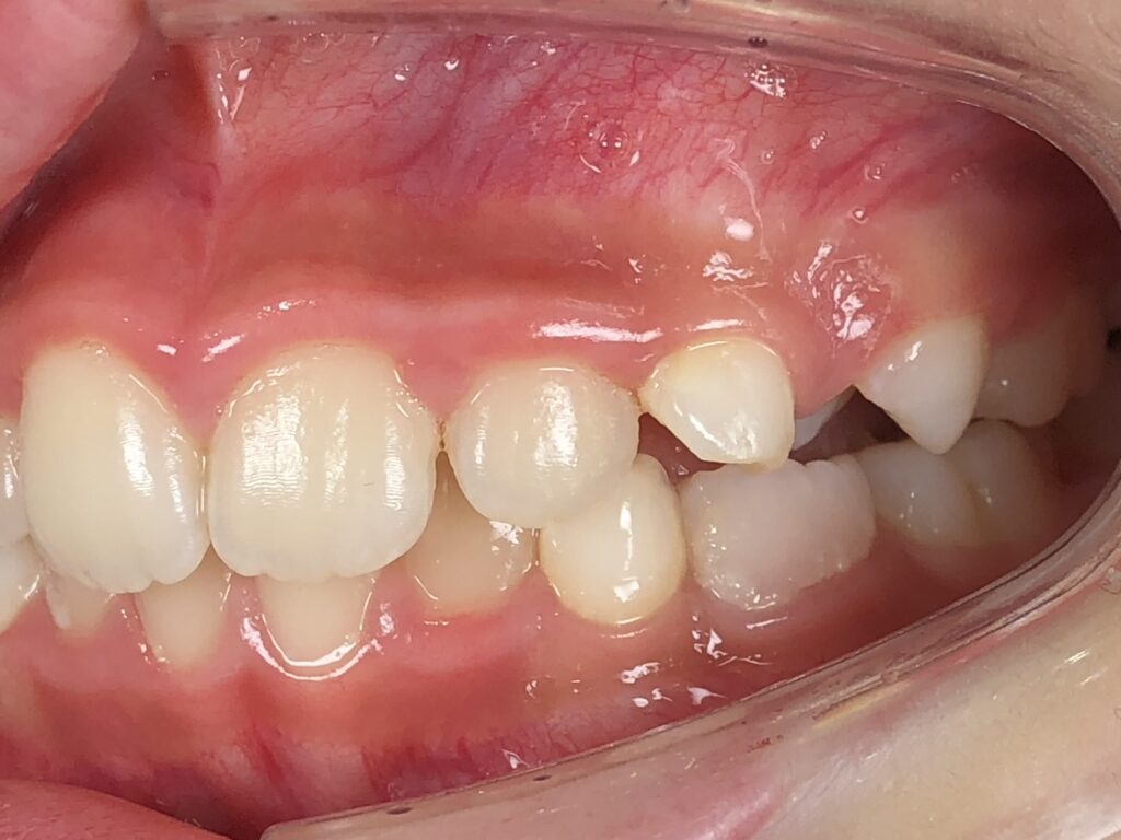
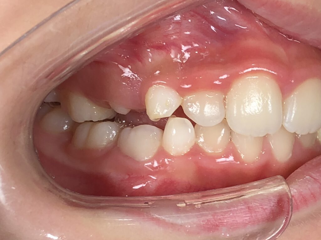
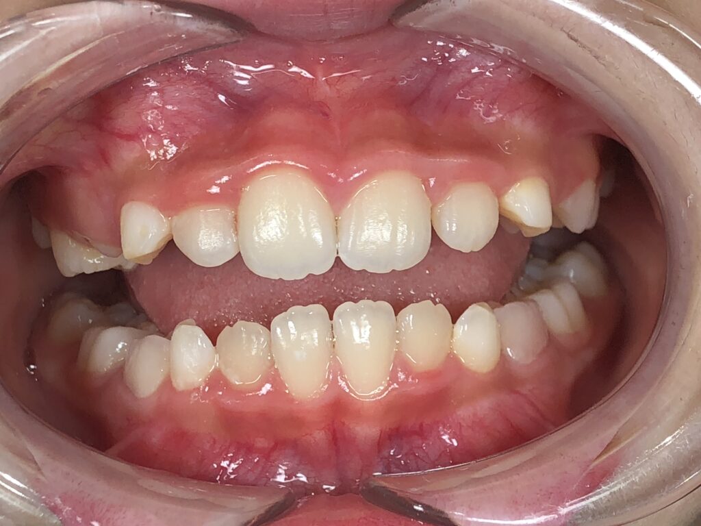
症状を詳しく見る: 症例1
主 訴
上の前歯の歯並びが気になる。鼻詰まりもあり改善したい。
治療方法
小児矯正
治療期間
1年3カ月
抜 歯
なし
費 用
550,000円
-
症状を詳しく見る: 症例2
主 訴
かみ合わせが反対になっているのを治したい。
治療方法
小児予防矯正
治療期間
9カ月
抜 歯
なし
費 用
195,000円
-
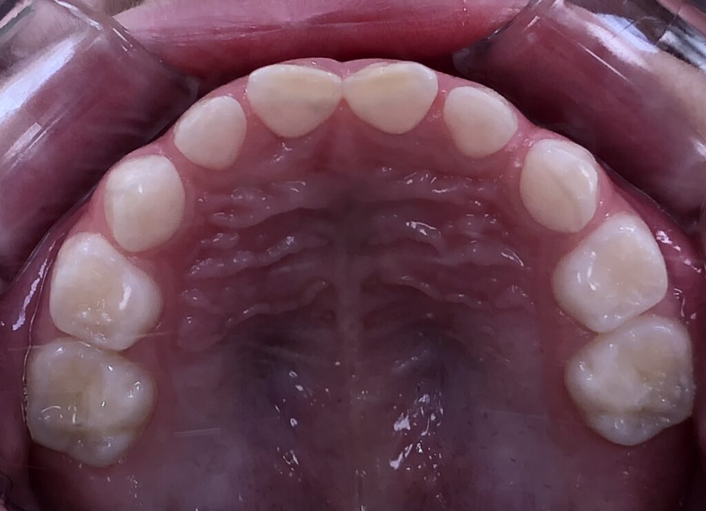
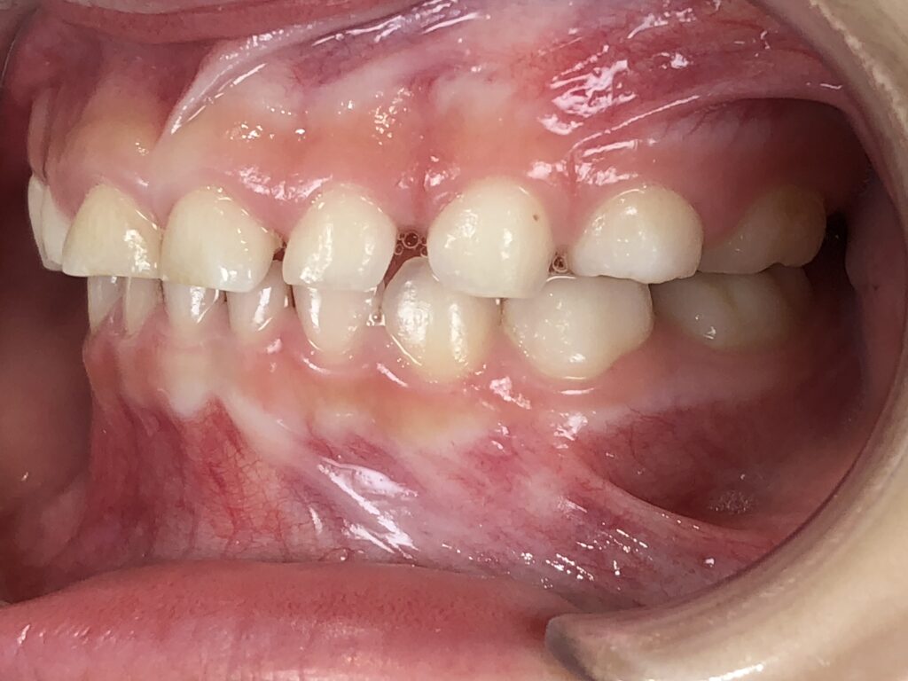
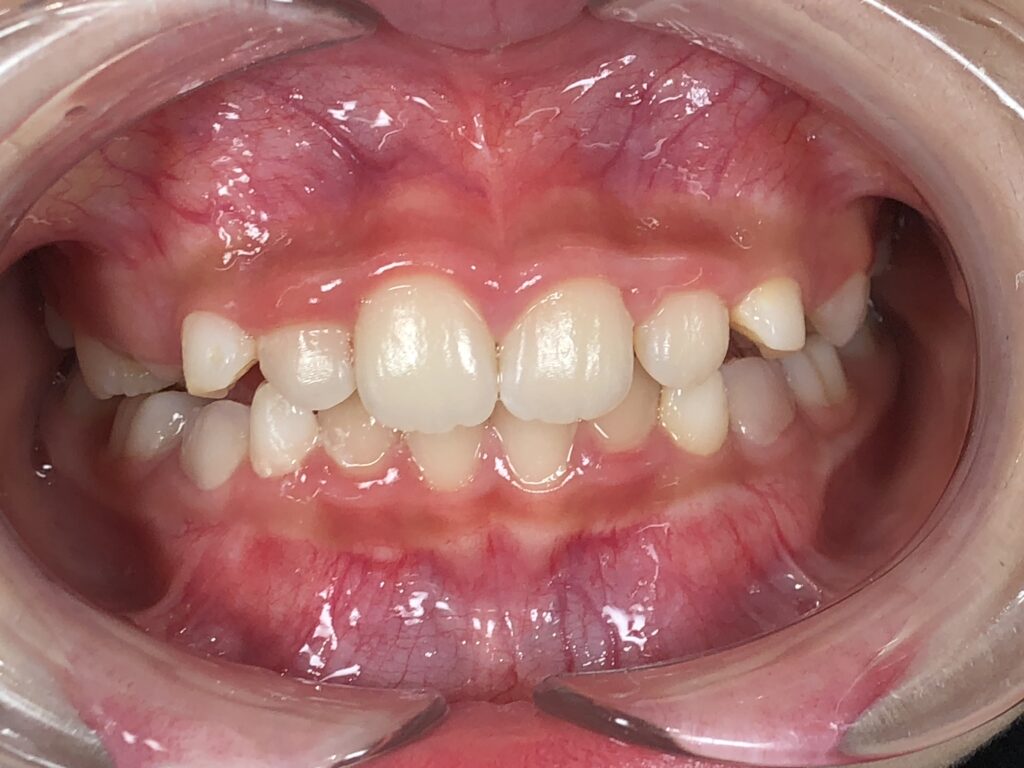
症状を詳しく見る: 症例3
主 訴
前歯の歯並び、かみ合わせが気になる。
治療方法
小児矯正
治療期間
1年3カ月
抜 歯
なし
費 用
550,000円
-
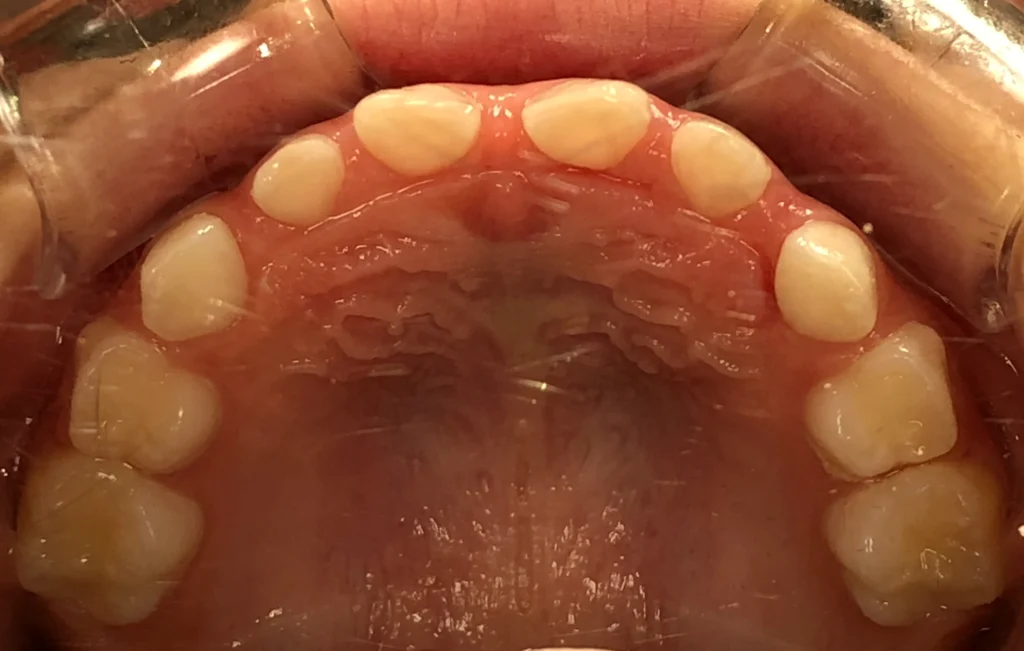
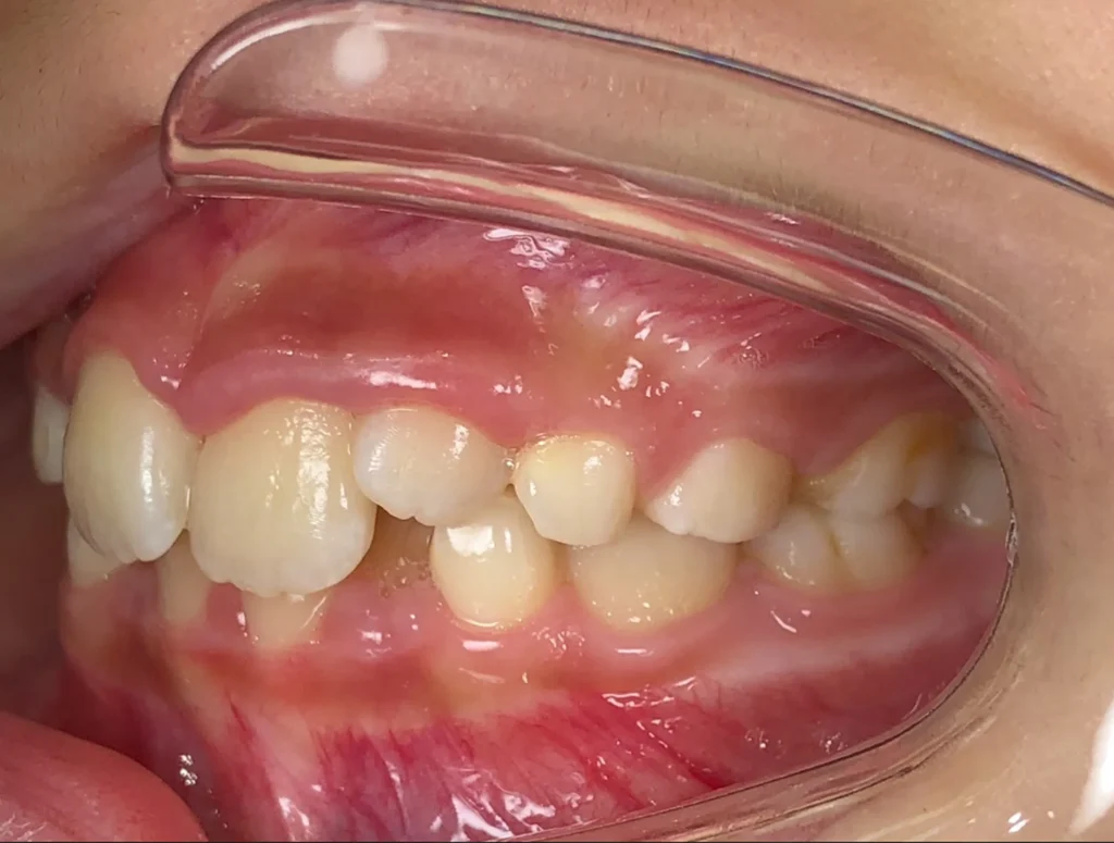
症状を詳しく見る: 症例4
主 訴
歯並び気になる。上の前歯が重なって生えている。
治療方法
小児矯正
治療期間
1年3カ月
抜 歯
なし
費 用
550,000円
-
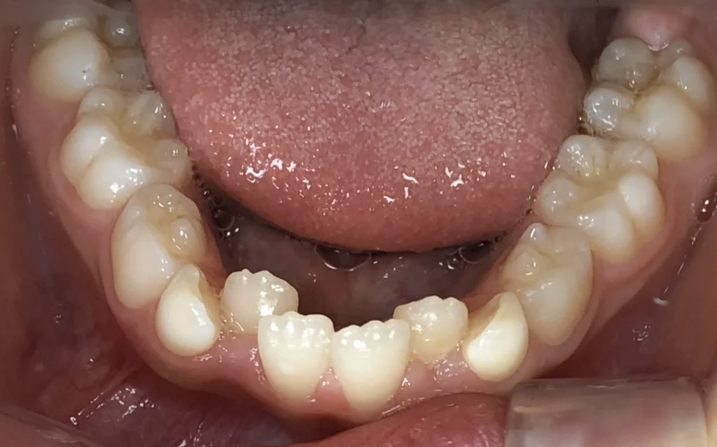
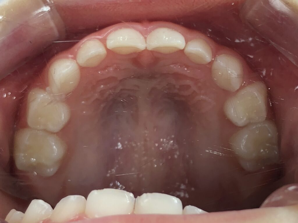
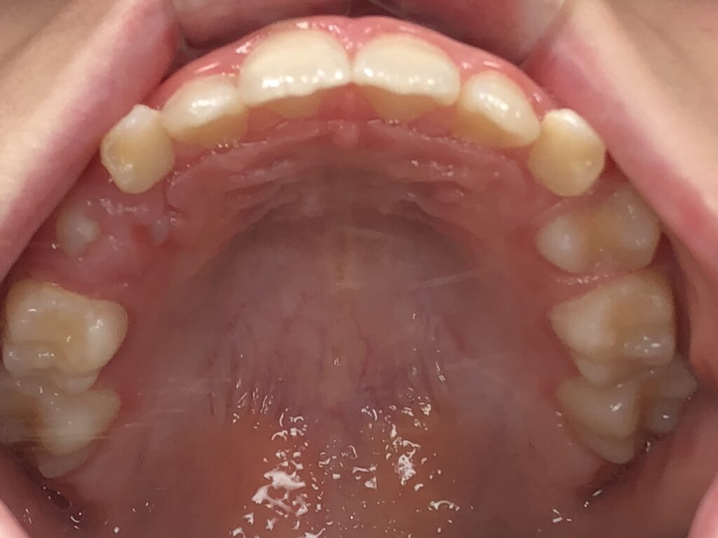
症状を詳しく見る: 症例5
主 訴
歯と歯の間に隙間がない。永久歯が生えるスペースがない。
治療方法
小児予防矯正
治療期間
9カ月
抜 歯
なし
費 用
195,000円
-
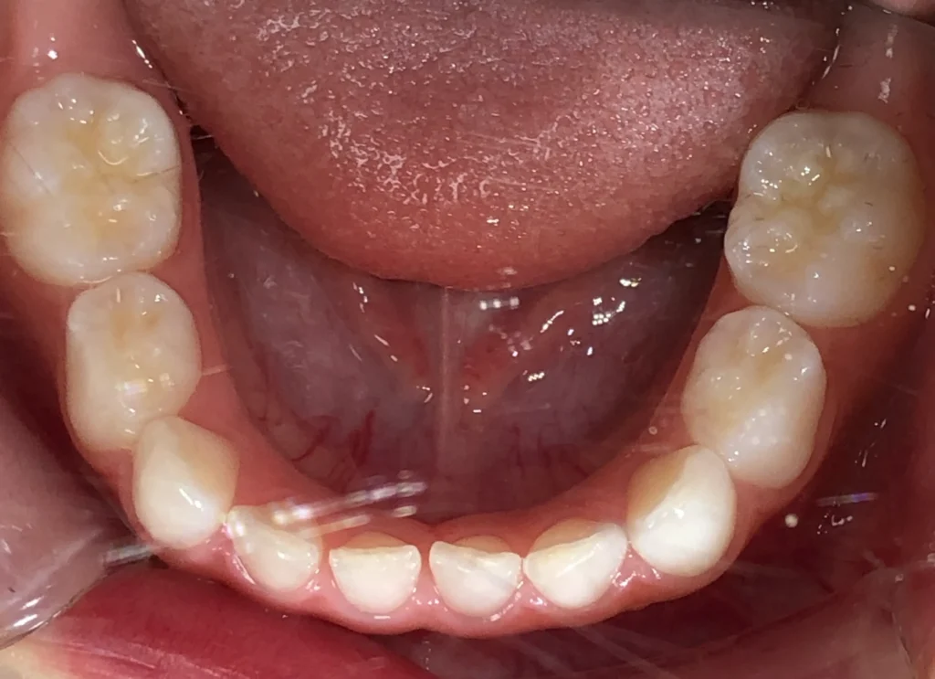
症状を詳しく見る: 症例6
主 訴
歯と歯の間のスペースがない。歯ぎしりする。
治療方法
小児予防矯正
治療期間
9カ月
抜 歯
なし
費 用
195,000円
リンクスター歯科の
小児矯正
無料相談のご予約
お子さまの歯並びや噛み合わせについて、
専門の歯科医師が
わかりやすくご説明いたします。
将来の健やかな成長のために、
まずはお気軽にご相談ください。
-
医院名
-
リンクスター歯科
-
住所
-
〒463-0047
愛知県名古屋市守山区小幡常燈18-5 -
アクセス
-
名鉄瀬戸線 小幡駅より早歩き3分
-
駐車場
-
8台完備 第2駐車場あり・16台
第2駐車場の住所記載


